People are living longer than ever. Although regular brushing, flossing, and checkups allow many of us to maintain our natural smile for a lifetime, sometimes our teeth just can’t keep up.
If you’ve lost a tooth or several teeth, due to injury or periodontal disease or even are edentulous (currently wearing dentures), dental implants can rejuvenate your smile, your oral health, and your overall well-being.
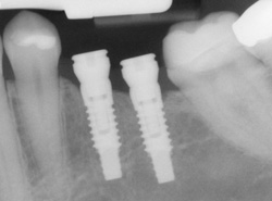
An implant is a synthetic tooth root in the shape of a post that is surgically placed into the jawbone. The “root” is usually made of titanium: the same material used in many replacement hips and knees, and a metal well suited to pairing with human bone.
A replacement tooth is fixed to the post. The teeth can be either permanently attached or removable. Permanent teeth are more stable and feel more like natural teeth.
The ideal candidates for implants are seriously motivated patients that have a sufficient amount of bone in the jaw, and relatively healthy gums.
Single or Multiple Implants

Implants are extremely versatile. If you are missing only one tooth, one implant plus one replacement tooth will do the trick. If you are missing several teeth in a row, a few strategically placed implants can support a permanent bridge (a set of replacement teeth).
If you have lost all of your teeth, a full bridge or full denture can be permanently fixed in your mouth with a strategic number of implants, commonly known as an “All on Four” or a Hybrid Fixed Bridge.
Advantages Over Dentures or Bridges
Conventional bridges and dentures are not fixed to the bone, and can therefore be unstable. This may make it difficult to eat or smile with confidence.
Implants not only look more natural, but feel and act more like normal teeth, with a stronger biting force. And because they don’t directly rely on neighboring teeth for support, implants don’t compromise the health of your natural teeth.
In fact, bridges typically last only seven to ten years, even less with root canals, whereas implants will typically last a lifetime.

Post-Treatment Care
Treat your replacement implant teeth the same as natural teeth. They require the same daily brushing and flossing, and the same amount of regular checkups.
Just like your natural teeth, the better you take care of your replacements, the longer they will last. Smoking and poor oral hygiene can affect the longivity of your implants.
New River Gorge Implantology Study Group
The “New River Gorge Implantology Study Group” provides additional colleague support. Dental implantology has evolved over the last 30 years, yet new techniques and products emerge daily.
To stay on the forefront of those changes, Dr. Gilbert spearheads a dental implantology study club group with his general dentist peers to share new ideas and techniques to advance the ever-changing technology in dental implants.
Thus, Dr. Gilbert remains on the cutting edge of these new methods and constantly shares these ideas with his colleague dentists ... so the patient ultimately experiences the synergy of the best outcome and best dental restoration.
